Restriction digestion is the process of cutting DNA molecules into fragments with the enzymes called restriction endonucleases. These enzymes act as molecular scissors and cleave the DNA at precise sequence. Restriction enzymes are basically bacterial enzymes that form a part of their defence mechanism against foreign DNA (discussed in chapter 9).
The process requires restriction enzymes of choice such as EcoRI and BamHI, distilled water, the substrate DNA (which has to undergo restriction digestion) and 10X assay buffer. The digestion reaction is carried out by mixing the reagents mentioned. If desired, more than one restriction enzyme can also be added, provided both the enzymes are active at the same buffer concentration and temperature. The contents are mixed well and incubated at suitable temperature usually at 37°C for 1–3h. After the incubation, the reaction is stopped by incubating the tubes at –20°C or by adding 0.5 M EDTA.
The restriction digested fragments are then subjected to agarose gel electrophoresis and can be visualized as separated fragments in a UV transilluminator.
Ligation
The restriction digested samples can be ligated. The construction of recombinant DNA molecules is dependent on the ability to seal single-stranded nick in DNA. This process is accomplished both in vivo and in vitro by the enzyme DNA ligase. It catalyses the formation of phosphodiester bonds between the 5′-PO4 and 3′-OH termini of double-stranded DNA. Ligase can repair single-stranded nicks in double-stranded DNA. Ligases can even join double-stranded restriction fragments having either blunt ends or homologous cohesive ends.
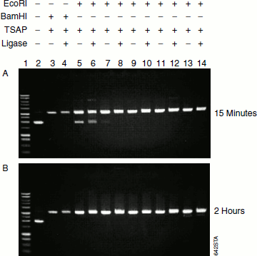
Figure 12.10 Restriction digestion and ligation

T4 DNA ligase has the unique ability to join the sticky- and blunt-ended fragments. Cohesive end ligation is carried out at 12°C–16°C to maintain a good balance between annealing of ends and the ability of the enzyme. If reaction is set at higher temperatures, the annealing of the cohesive ends becomes difficult while lower temperature diminishes the ligase activity.
The process of ligation requires restriction digests, 2X ligase assay buffer and T4 DNA ligase. The contents are mixed thoroughly well and incubated at 16°C for 2 h. The ligated sample can be loaded onto an agarose gel and the electrophoresis is carried out. The ligated DNA fragment can be visualized using a UV transilluminator (Figure 12.10).